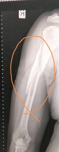
骨折 成功案例-骨折摔倒受伤而导致骨折 By 金山豪猪枣January 11, 2025Less 1 min read234 Views 今年74岁的钟女士,数月前走下石级时摔倒受伤而导致【骨折】,如上图之x光图片!后经医院治疗,服用金山豪猪枣而无需再服食西药(消炎止痛药、抗生素),《骨折伤口处》无发炎及疼痛感,骨折愈合快速,医院之骨科专家医生均深感惊奇无比!👌💯👍 ShareTweetShareShare Previous Post成功案例-新冠疫情 Next Post成功案例-中风 你可能会喜欢的阅读 Nothing Found! Ready to publish your first post? Get started here.